Gum Grafting

If you’ve noticed that over time, more of your tooth appears exposed than it used to, your gums might be receding. At Boutique Dental Bondi, we are able to offer a range of solutions to help manage gum recession and one of the surgical options is a gum graft.

What is Gum Grafting?

A gum graft, also known as gingival grafting, is a surgical procedure which allows us to take a section of healthy gum from one area of your mouth and place it over a tooth or teeth which have lost gum tissue due to recession.  

 There are many factors that influence the gum to recede, including gum disease, improper brushing, genetics or aging. When the gum recedes, this can expose the root of the tooth which heightens the risk of damage and decay and may cause sensitivity and discomfort.  

How does Gum Grafting work?

The process of gum grafting involves taking a piece of donor tissue (which usually comes from the palate of your own mouth) and precisely securing it over the exposed areas and stitching it into place. Over the coming months, the donor tissue will integrate and blend in with the surrounding gum, to provide protection for your teeth.


Why choose Gum Grafting at Boutique Dental Bondi?

  • Your safety is our priority. All equipment is 100% sterile and tracked, while single-use materials are safely disposed of after your treatment. We follow strict infection control protocols to provide the highest standard of care and promote the best possible outcomes

  • We take the utmost care to ensure the best possible results and use precision techniques to minimise pain and discomfort

  • Your procedure is carried out right here in our clinic. For your comfort, we have different sedation options available, allowing you to relax during treatment and return home safely in the care of a loved one shortly afterwards.

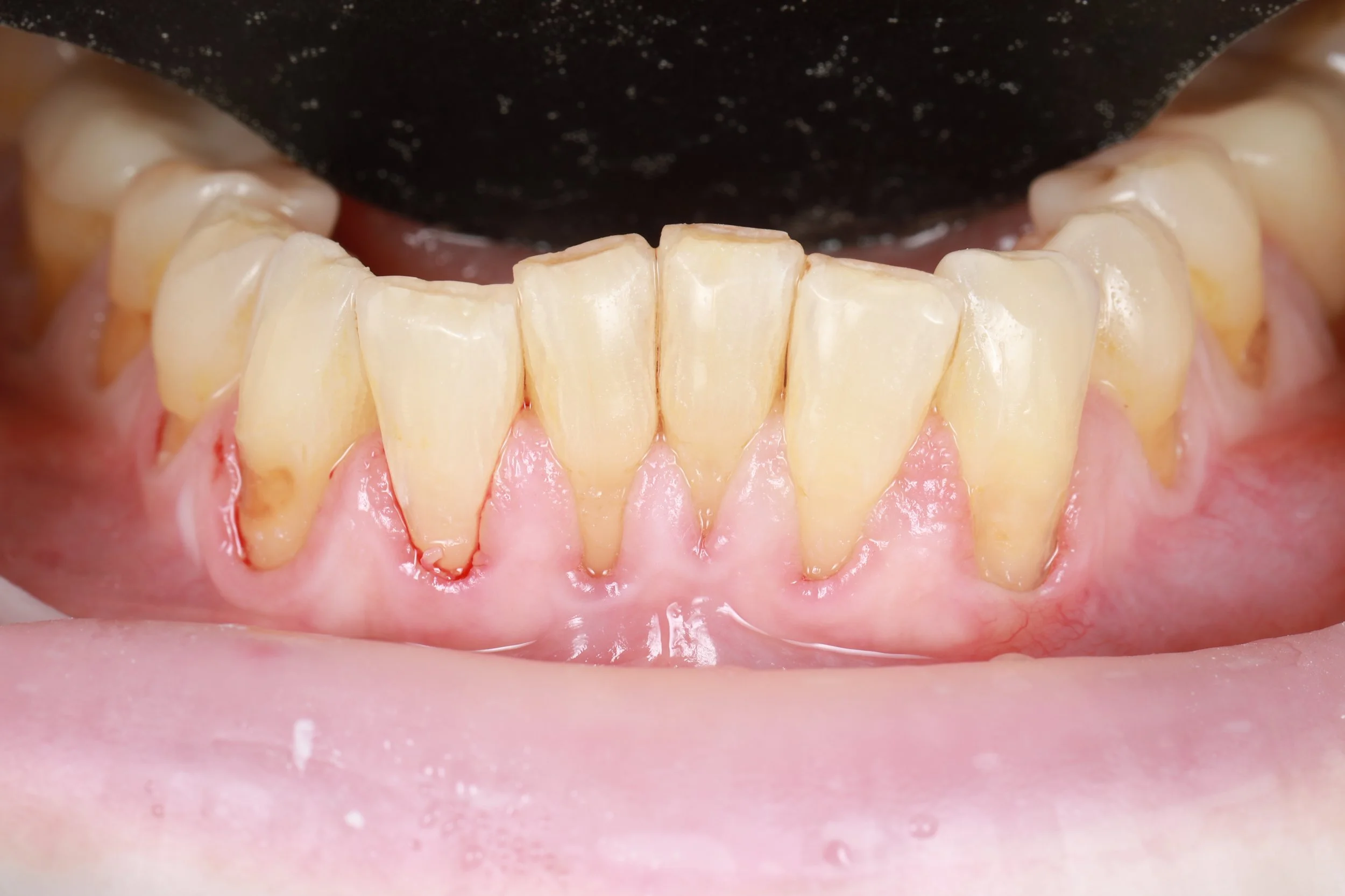
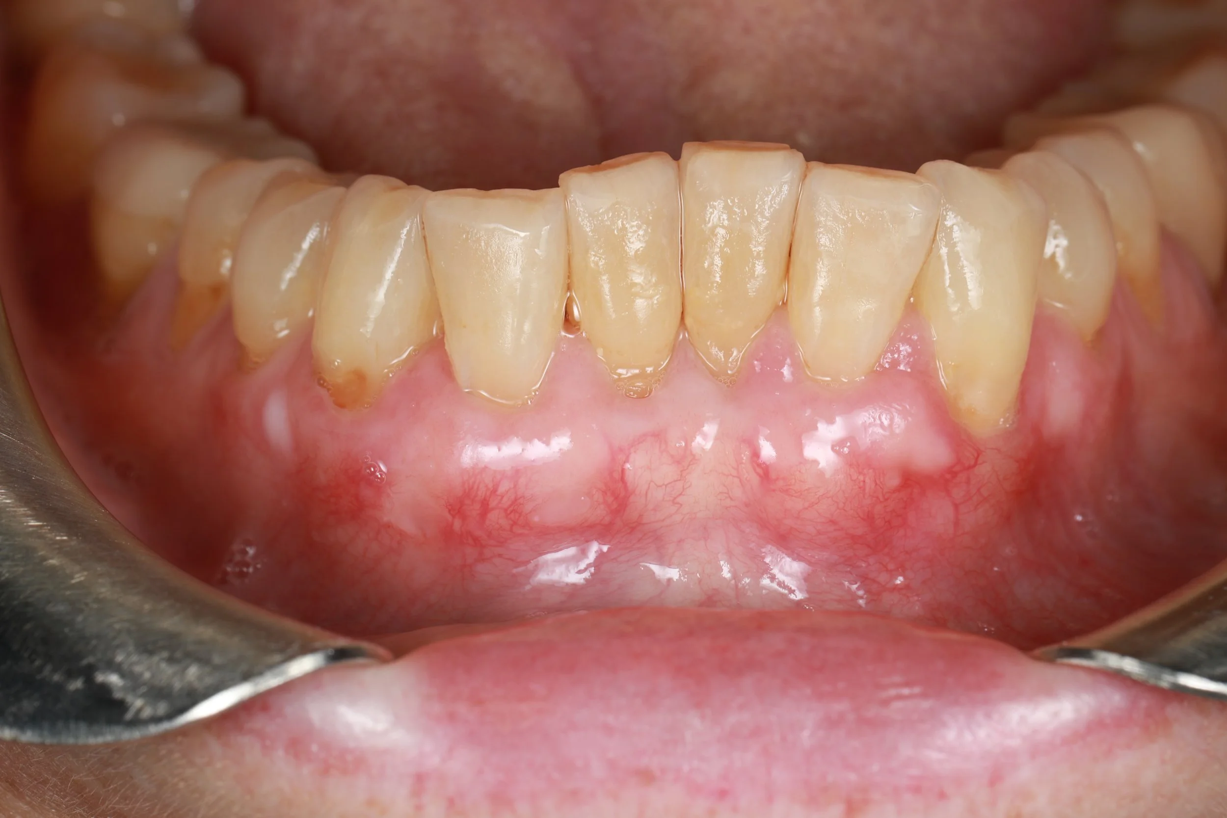
Gum graft performed by Dr William (Won Hyuk) Choi DEN:0001619463 (General Registration)

The after image was taken approximately 4 weeks after the procedure was completed. Please note that the outcomes shown in the images are only relevant for this patient and do not necessarily reflect the results that other patients may experience.


A full medical history will be taken before any clinical procedures take place. Due to regulatory requirements we must inform you that any surgical or invasive procedure carries risks. Before proceeding with any treatment, you should seek a second opinion from an appropriately qualified and registered health practitioner.


Start Your Smile Transformation - Contact Us for a Consultation